Compre su Lumify en la tienda online de Andover.


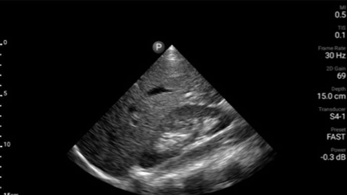
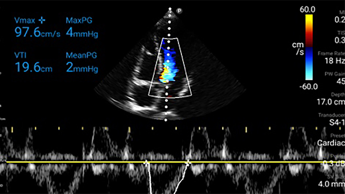
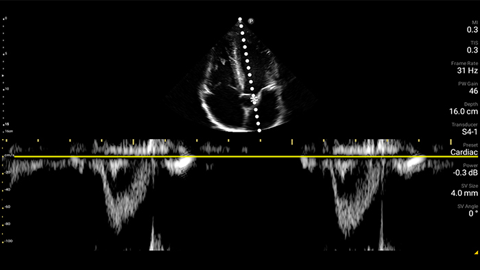
Para aplicaciones abdominales y cardíacas: optimizaciones de preajustes de imágenes cardíacas, gineco-obstétricas, pulmonares, abdominales y FAST

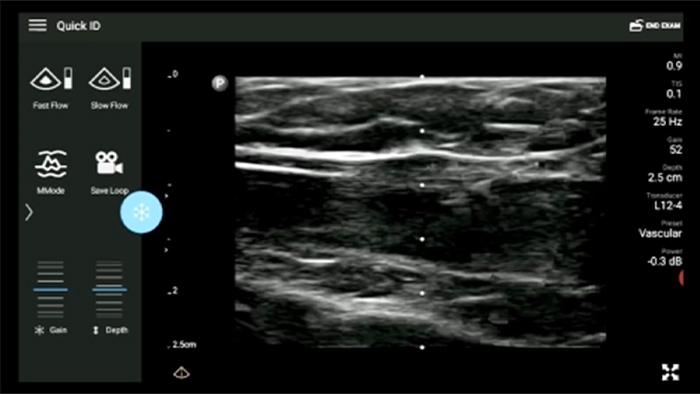
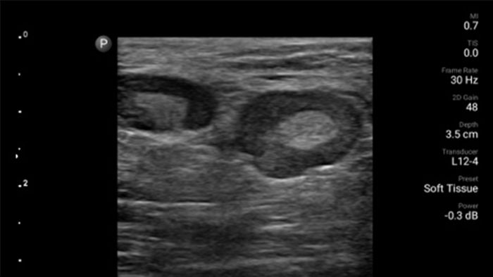
Para aplicaciones superficiales: tejido blando, vascular, superficial, musculoesquelético y pulmonar

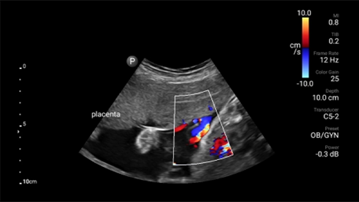
Para aplicaciones más profundas: optimizaciones preestablecidas para imágenes abdominales, de vesícula biliar, gineco-obstétricas y pulmonares

3-5 años de garantía
Grado militar. 4 pies, a prueba de golpes y vibraciones.

Sin cargos ocultos
Sin suscripciones y precios flexibles. Compre directamente y obtenga acceso a todo el software y las funciones.

Control de infecciones listo
Lumify es compatible con diversos métodos de desinfección de alto y bajo nivel.

Conformidad con la HIPAA
Cumpla las políticas de seguridad de cifrado de datos de la empresa.

Comparta información
Los datos se envían por correo electrónico, DICOM a PACS, una red compartida o un directorio local.

Hasta 5 horas de escaneo continuo
Recurrir a la batería del dispositivo de visualización compatible.

Imágenes de ultrasonido excepcionales
El ultrasonido portátil Lumify ofrece imágenes que mejoran la confianza en el diagnóstico.












“... Lumify tiene sin duda una calidad de imagen, un diseño y una funcionalidad superiores." Dr. Phil Lee, Anestesiología

"El uso de Lumify durante la reanimación tiene el potencial de minimizar las pausas en las compresiones torácicas ..." Dr. Ben Smith, Emergency Medicine

"Lumify tiene una excelente calidad de imagen y es fácil de usar." Dr. Darren Braude, Emergency Medicine
Lumify en el campo

“... Lumify tiene sin duda una calidad de imagen, un diseño y una funcionalidad superiores." Dr. Phil Lee, Anestesiología

"El uso de Lumify durante la reanimación tiene el potencial de minimizar las pausas en las compresiones torácicas ..." Dr. Ben Smith, Emergency Medicine

"Lumify tiene una excelente calidad de imagen y es fácil de usar." Dr. Darren Braude, Emergency Medicine
You are about to visit a Philips global content page
Continue