La tecnología dStream, arquitectura de banda ancha digital, digitaliza la señal directamente en la bobina.
Es posible obtener imágenes de gran calidad junto con una velocidad increíble gracias a nuestra arquitectura digital de banda ancha dStream. Disfrute de hasta un 40 % más de relación señal-ruido (SNR)* y un rendimiento mejorado con tecnología de radiofrecuencia independiente del canal que facilita las actualizaciones. dStream digitaliza la señal directamente en la bobina y elimina las influencias de ruido típicas de las vías analógicas, para capturar la señal del RM sin distorsión previa o compresión. Una conexión de fibra óptica de la bobina al reconstructor de imagen permite la transmisión de datos de banda ancha sin pérdidas.
La tecnología dStream ha marcado la diferencia en el mundo."
Chip Truwit, MD, jefe de Radiología, Hennepin County Medical Center, Minnesota, EE. UU.

La arquitectura de dStream utiliza un método de muestreo DirectDigital RF para la digitalización: la señal de imagenología de resonancia magnética (IRM) se muestrea directamente, sin conversión a CD. Esta técnica evita todas las etapas analógicas intermedias para la conversión descendente de la señal entre el elemento de la bobina y el convertidor de la configuración analógica a digital (ADC).

El resultado general es una arquitectura de recepción simplificada, con pocos componentes, bajo consumo de energía, alto y dinámico rango de SNR, y mejor estabilidad de señal y fase.

La digitalización tiene lugar en la propia bobina. La electrónica de la ADC ha sido miniaturizada y colocada dentro de la bobina.
Un cable de fibra óptica para cualquier número de canales de radiofrecuencia (RF) reemplaza múltiples cables coaxiales y mantiene la calidad de la imagen. El número de canales de RF ya no es una especificación del sistema.

Resultado: resolución de imagen y SNR mejoradas

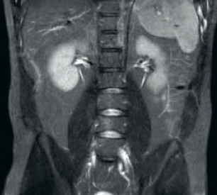
Resultado: imágenes ruidosas que usan parámetros de exploración idénticos

Mayor consistencia y mejor calidad de imagen La tecnología de recepción de RF dStream digitaliza la señal del RM directamente en la bobina de radiofrecuencia, lo que resulta en un aumento de hasta un 40 % más de la SNR* en todo el volumen de la imagen. Flujo de trabajo simplificado y rendimiento mejorado La bobina posterior integrada en la mesa elimina el manejo de la bobina en el 60 % de los exámenes. Las ligeras bobinas anteriores conformadas y las conexiones de bobina de un solo cable y de una sola mano contribuyen a la facilidad operativa.

Menos complejidad de actualización e independencia del canal No es necesario actualizar los canales de recepción de radiofrecuencia del sistema para mantenerse al día con los avances de la tecnología de bobinas. Arquitectura diseñada para el futuro La expansión de las capacidades clínicas se puede lograr sin revisiones importantes del sistema, lo que ocasiona menores costos del ciclo de vida y un valor mejorado.

Si bien dStream forma una parte integral de todos los nuevos sistemas de RM Ingenia, los propietarios del sistema instalado pueden beneficiarse. SmartPath para dStream es una ruta rentable hacia la RM de banda ancha digital y está disponible para: • Intera 1.5T • Achieva 3.0T/3.0T TX • Achieva 1.5T/XR
Una explicación visual de la arquitectura de dStream.
*Hasta un 40 % más de SNR en comparación con Achieva como sistema no digital/dStream
El Hennepin County Medical Center (HCMC) opera un centro de IRM de vanguardia que usa el escáner de imagenología de resonancia magnética IRM Philips Ingenia 1.5T, con tecnología dStream.*
You are about to visit a Philips global content page
Continue