Nuestra suite Vascular proporciona herramientas de intervención vascular especializadas y dispositivos vasculares avanzados para apoyar altos niveles de estandarización y redefinir los resultados para sus pacientes con APP. Respalda cada paso de su procedimiento, a medida que decide, guía, trata y confirma los resultados del tratamiento.

Nuestras soluciones Azurion Hybrid OR proporcionan un entorno de atención quirúrgica innovador que ofrece una flexibilidad de procedimiento excepcional y facilidad de uso, al tiempo que cumple con los más altos estándares para el control de infecciones quirúrgicas e higiene. El sistema instalado en el techo proporciona una flexibilidad de imagen ilimitada para diversos procedimientos y una libertad de posicionamiento excepcional para los equipos médicos. Obtiene todo esto en una configuración compacta, proporcionando un entorno altamente rentable y listo para los procedimientos del futuro. Al trabajar a su alrededor, Philips Azurion con FlexArm le ayuda a optimizar el rendimiento de su suite y ofrecer una atención médica superior.

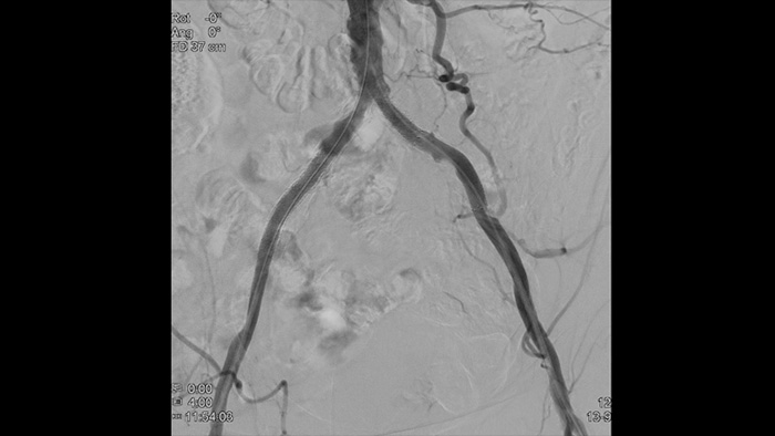
VesselNavigator proporciona una hoja de ruta 3D intuitiva y continua basada en conjuntos de datos de CTA y MRA existentes para guiarlo a través de la vasculatura durante los procedimientos periféricos.

Nuestros catéteres para imagenología periférica de imagen ayudan a determinar la localización de la morfología de la enfermedad y de la lesión, incluyendo calcio y trombo. IVUS también se puede utilizar para dimensionar adecuadamente los stents y confirmar la integridad del tratamiento.

Nuestros dispositivos de aterectomía periférica son excelentes herramientas para eliminar las obstrucciones del torrente sanguíneo. Nuestros productos no láser funcionan como dispositivos independientes que no tienen que estar emparejados con otros sistemas.

La cartera adaptable Philips de productos y tecnologías vasculares periféricas ayuda a los médicos a evaluar de forma rápida y precisa a los pacientes vasculares periféricos y a preparar los vasos para la administración precisa de un tratamiento óptimo.

Imágenes de alta definición de los vasos con detalles vasculares superiores para apoyar estrategias de tratamiento precisas, navegación y seguimiento.

Vea claramente, trate óptimamente La cartera de dispositivos de Philips le permite a los médicos ver con claridad y tratar de manera óptima.

Philips QuickClear El nuevo sistema de trombectomía mecánica Philips QuickClear está ayudando a los médicos con un control de un solo clic y que está en funcionamiento en cuestión de segundos. La consistencia del poder de aspiración durante el procedimiento proporciona a los médicos más control y permite tiempos de procedimiento más rápidos.
Soluciones para procedimientos aórticos que ofrece la terapia guiada por imágenes de Philips.
Conozca másLas soluciones para procedimientos venosos que ofrece la terapia guiada por imágenes de Philips.
Conozca más Referencias
You are about to visit a Philips global content page
Continue