
La comunidad sanitaria está estudiando detenidamente las estrategias para reducir la exposición a la radiación de los pacientes y el personal médico durante los procedimientos intervencionistas. Nuestras soluciones de cirugía móvil Zenition están construidas sobre la base de Philips DoseWise Zenition, una combinación única de técnicas, programas y prácticas para abordar la eficiencia de la dosis. Proporcionan una calidad de imagen clínicamente pertinente durante aplicaciones ortopédicas, traumatológicas y otras aplicaciones intervencionistas, al tiempo que gestionan, de forma eficiente, la exposición a la radiación de los pacientes y del personal médico.
Hecho para facilitar su uso en entornos de quirófano de rápido movimiento, Zenition se basa en el flujo de trabajo de Philips Unify para establecer una sensación inmediata de familiaridad y confianza durante cualquier intervención y procedimiento quirúrgico.

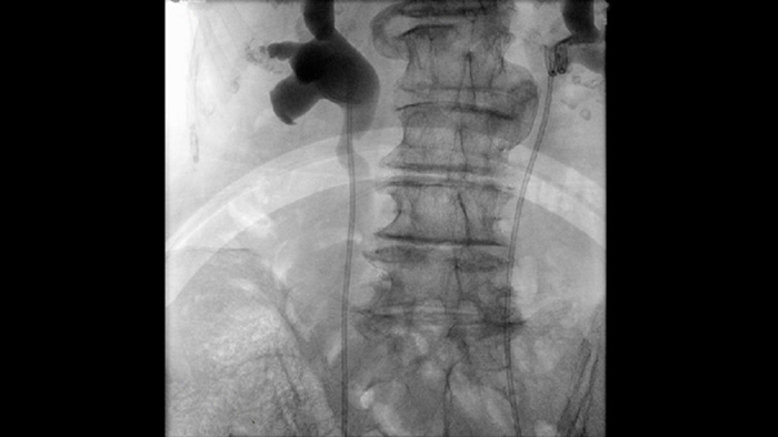
La fluoroscopia pulsada mejora las imágenes de las características anatómicas densas y complejas para ayudarle en el manejo de la dosis. Puede seleccionar un rango de frecuencias de pulsos de fluoroscopia para reducir la dosis cuando se desee o mejorar la calidad de la imagen según sea necesario.

Los parámetros de imágenes predefinidos para diferentes procedimientos y características anatómicas, que se pueden personalizar por aplicación, aumentan la confianza clínica y la eficiencia para los diversos procedimientos y pacientes de cada día.

Compare convenientemente las imágenes de TC, RM, rayos X y otras imágenes de pantalla completa con las imágenes de DICOM en vivo en la Estación de visualización móvil para obtener una visión integral de la enfermedad.

Conecte fácilmente todos sus arcos en C móviles Zenition con otros sistemas de quirófano y la infraestructura de su hospital gracias a las herramientas de conectividad e interoperabilidad avanzadas, incluida la transferencia inalámbrica de datos de alta velocidad. La conexión de los datos de los pacientes entre departamentos enriquece la comprensión clínica y mejora la eficiencia operativa.

Los obturadores asimétricos únicos aumentan la flexibilidad y la precisión de la colimación ya que le permiten mover los obturadores de forma independiente entre sí. Puede ajustar los obturadores y la orientación de la imagen mientras está en la última retención de la imagen sin usar radiación.

Módulo de pantalla táctil* El módulo de pantalla táctil (Touch screen module, TSM) está diseñado para ofrecer valor porque mejora las capacidades clínicas de Zenition 70. Como complemento de la plataforma Zenition 70, el TSM permite el control completo desde la mesa para los cirujanos durante los procedimientos. * El TSM está disponible como elemento opcional solo para Zenition 70.
Realice casos ortopédicos con facilidad y confianza con los sistemas de imágenes del arco en C móvil de Philips Zenition, que ofrecen una facilidad de uso probada y capacidades de ajuste futuro.
Conozca másExperimente una mayor facilidad y confianza durante las intervenciones y cirugías vasculares con los sistemas de imágenes del arco en C móvil Philips Zenition.
Conozca másRealice casos de tratamiento del dolor con facilidad y confianza con los sistemas de imágenes de arco en C móvil de Philips Zenition que ofrecen una facilidad de uso probada y capacidades de ajuste futuro.
Conozca más
You are about to visit a Philips global content page
Continue