Philips Zoom
Ultimate Protocol
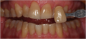
Los dentistas profesionales disponen ahora de un protocolo específico para tratar la decoloración dental grave. El nuevo Philips Zoom Ultimate Protocol combina el blanqueamiento en consulta Philips Zoom WhiteSpeed con el tratamiento en casa Philips Zoom NiteWhite para lograr los mejores resultados de blanqueamiento.


Antes

Después
You are about to visit a Philips global content page
Continue